Friday, October 24, 2025

Week in Science: Cells have a sophisticated self-destruct system

October 24—This week, two rare astronomical events shared the night sky; the way we tell stories influences our memory of them; and ultramarathoners can burn an astoundingly high amount of calories during competition but at a cost. All that and more below!

Andrea Tamayo, Newsletter Writer

Top Stories
How to Catch a Rare Comet and a Meteor Shower

A comet visible to the naked eye will make its closest approach to Earth on October 21

Is There a Fundamental Limit to Human Metabolism? New Research Suggests Yes

A new study finds that even elite endurance athletes run up against a hard metabolic ceiling

Feed your passion for science (and read every story linked to here!) with a subscription to Scientific American.
Cells Have a Crystal Trigger That Makes Them Self-Destruct When Viruses Invade

A special class of immune proteins protect us from pathogens but also drive inflammation and cell death

Near-Hurricane Melissa Will Drop Mind-Boggling Rain on Jamaica

Melissa is currently a slow-moving tropical storm that is expected to rapidly intensify to a major hurricane—a brutal combination will drench Jamaica and other Caribbean islands

Brains Remember Stories Differently Based on How They Were Told

Telling the same story in different ways can change the brain networks that the listener uses to form memories

Google Explores Quantum Chaos on Its Most Powerful Quantum Computer Chip

"Quantum echoes" rippling through Google's quantum computer chip Willow could lead to advances in molecular chemistry and the physics of black holes

Flu Cases Surge Early in Japan, Sparking Global Health Concerns

School closures and hospitalizations from an unexpected early spike in flu cases in Japan has experts concerned about what lies ahead for other countries

How the World's Most Famous Code Was Cracked

Uncovering the CIA's Kryptos puzzle took three parts math and one part sleuthing

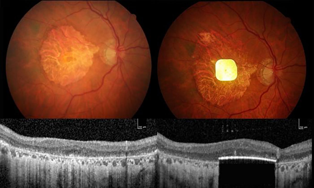
Retinal Implant Allows People with Blindness to Read Again in Small Trial

An electronic retinal implant has improved vision in people with age-related macular degeneration—but it isn't a full restoration, and it didn't improve participants' quality of life

Scientist Pankaj

Did ancient black holes eat antimatter? | Andy Weir on 'Project Hail Mary' | NASA X-59 supersonic jet glitch

Does our universe exist because black holes ate antimatter? | Stream 'For All Mankind' while you travel & ...